اخبار السعودية
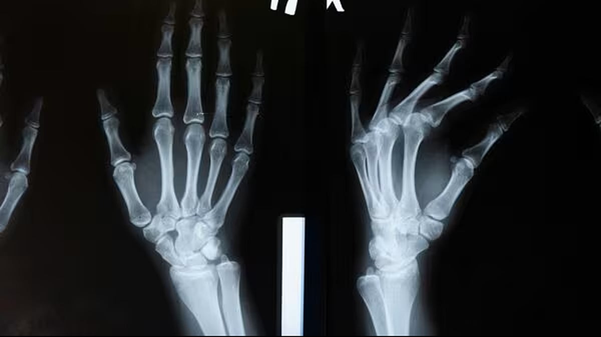
“غراء عظمي” يعالج الكسور في 3 دقائق

أعلن فريق بحثي في مقاطعة تشيجيانغ شرق الصين، تطوير “غراء عظمي” جديد باسم Bone-02، قادر على تثبيت الشظايا العظمية المكسورة خلال ثلاث دقائق فقط، في خطوة وُصفت بأنها “اختراق علمي” في جراحة العظام.