اخبار السعودية
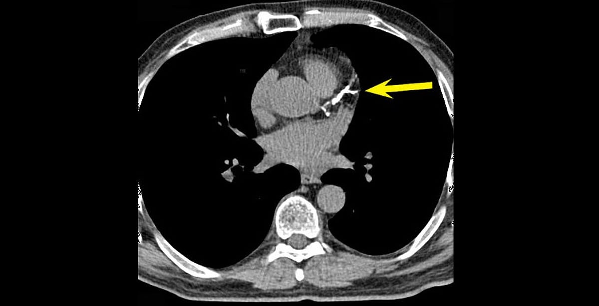
"النمر": تكلّس الشرايين قد يرتفع 25٪ سنويًّا دون خطورة.. واستخدام الأسبرين مشروط بـ3 عوامل

"النمر": تكلّس الشرايين قد يرتفع 25٪ سنويًّا دون خطورة.. واستخدام الأسبرين مشروط بـ3 عوامل

"النمر": تكلّس الشرايين قد يرتفع 25٪ سنويًّا دون خطورة.. واستخدام الأسبرين مشروط بـ3 عوامل